-
牛皮癣有哪些表现症状福州华研

- 牛皮癣是一种常见的慢性皮肤炎症,医学上称之为寻常型银屑病,一般起因与遗传因素、生活环境因素、...【详细】
-
福州华研牛皮癣有传染性吗?如何护理

- 牛皮癣是银屑病的俗称,是一种具有长病程、易复发特点的慢性皮肤病炎症。部分患者可能会出现终生不...【详细】
-
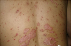
福州牛皮癣症状的初期图片?

- 福州牛皮癣症状的初期图片?牛皮癣是一种高复发的慢性顽固性皮肤病,牛皮癣疾病在刚发生的时候,症...【详细】
-
牛皮癣患者病情加重或许因为这些!

- 有时候,牛皮癣患者的病情就加重了,那是因为什么呢?有可能是因为这些! 牛皮癣是一种很杂乱的皮...【详细】
-
牛皮癣与遗传有着密切关系

- 牛皮癣 这种场景的皮肤疾病,一定要清楚的了解到是什么原因导致疾病发作的,这样对疾病的治疗是非...【详细】
-
牛皮癣的常见症状有哪些

- 牛皮癣 的发病率很高,而且患病后还很难治疗。牛皮癣的发病原因非常的复杂,在早期治疗还好点,要...【详细】
福州华研皮肤病专科 网上自助挂号
电话:0591-83832226 【点击直接拨打】